Ca băng huyết hiếm gặp do thông nối động – tĩnh mạch tử cung (AWM) đã được các bác sĩ Bệnh viện Phụ sản Trung ương chẩn đoán chính xác giúp bệnh nhân được can thiệp kịp thời, thoát khỏi nguy kịch và bảo tồn tử cung.
Máu chảy ồ ạt ở sản phụ 3 lần mổ lấy thai, 3 lần hút thai
Mới đây, Khoa Phụ nội tiết - Bệnh viện Phụ sản Trung ương đã tiếp nhận một trường hợp bệnh nhân đặc biệt: Chị Vũ Thị D. (43 tuổi), tiền sử 3 lần mổ lấy thai, 3 lần hút thai, nhập viện trong tình trạng ra máu âm đạo ồ ạt, choáng nặng, tính mạng bị đe dọa.
Ngay khi tiếp nhận, ThS.BS Đặng Anh Linh – Trưởng khoa Phụ nội tiết đã trực tiếp thăm khám, siêu âm Doppler màu cho thấy hình ảnh bất thường với vùng tăng sinh mạch máu trong cơ tử cung, kèm hình ảnh aliasing của dòng chảy vận tốc cao.
Qua đó, ThS.BS Đặng Anh Linh xác định đây là một trường hợp băng huyết có tổn thương mạch máu bất thường do thông nối động – tĩnh mạch (AVM) trong cơ tử cung – một bệnh lý hiếm gặp nhưng vô cùng nguy hiểm.

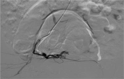
Bệnh nhân ngay lập tức được chuyển sang hội chẩn tại Trung tâm Can thiệp mạch – Bệnh viện Việt Đức. Kết quả chụp mạch số hóa xóa nền (DSA) xác nhận chẩn đoán ban đầu chính xác, đồng thời tiến hành nút mạch tại các vùng mạch máu tổn thương.
Sau can thiệp, tình trạng chảy máu âm đạo chấm dứt, bệnh nhân nhanh chóng ổn định và được chuyển về Bệnh viện Phụ sản Trung ương theo dõi, sau đó ra viện trong tình trạng khỏe mạnh, tái khám định kỳ ổn định.
Chia sẻ về ca bệnh hiếm gặp này, ThS.BS Đặng Anh Linh, Trưởng khoa Phụ nội tiết cho biết, bất thường nối thông động tĩnh mạch trong cơ tử cung rất hiếm gặp, có thể gây ra tình trạng xuất huyết ồ ạt, kéo dài, đe dọa tính mạng người bệnh.
Nếu không chẩn đoán đúng, việc xử trí bằng nạo hút buồng tử cung có thể khiến tình trạng xuất huyết trầm trọng hơn, thậm chí buộc phải cắt tử cung để cứu sống bệnh nhân.

Điều này đặc biệt nguy hiểm với những phụ nữ trẻ vẫn còn mong muốn sinh con. Trong trường hợp này, sự phối hợp chặt chẽ giữa Khoa Phụ nội tiết – Bệnh viện Phụ Sản Trung ương và Trung tâm Can thiệp mạch – Bệnh viện Việt Đức đã mang lại kết quả khả quan: không chỉ kiểm soát thành công tình trạng chảy máu đe dọa tính mạng, mà còn bảo tồn được tử cung cho người bệnh.
Phát hiện sớm tránh cắt tử cung bảo tồn sinh sản
Theo các chuyên gia, thông nối động tĩnh mạch (AVM) trong cơ tử cung là một bất thường hiếm gặp có thể gây chảy máu nặng gây nguy hiểm đến tính mạng bệnh nhân.
Siêu âm là một phương tiện đầu tay hiệu quả để chẩn đoán cũng như tiên lượng các tổn thương AVM. Chụp mạch máu số hóa xóa nền (DSA) là tiêu chuẩn vàng trong chẩn đoán AVM và đồng thời việc nút chọn lọc các mạch máu tổn thương là biện pháp điều trị hiệu quả cho bệnh nhân.

Không chỉ nhấn mạnh đến tính chất phức tạp và mức độ nguy hiểm của ca bệnh, ThS.BS Đặng Anh Linh đồng thời đưa ra khuyến cáo rằng: Phụ nữ có tiền sử nạo hút thai nhiều lần, mổ lấy thai, bóc u xơ tử cung,… nếu xuất hiện tình trạng ra máu âm đạo bất thường, cần đến khám tại các cơ sở y tế chuyên khoa sớm để được phát hiện nguyên nhân chính xác.
Việc chẩn đoán kịp thời, lựa chọn biện pháp điều trị phù hợp sẽ tránh nguy cơ băng huyết nặng nguy hiểm đến tính mạng người bệnh, hạn chế phải phẫu thuật cắt tử cung để cầm máu, bảo tồn khả năng sinh sản của người phụ nữ.