Một người bệnh nuốt nhiều dị vật gây biến chứng thủng đại tràng
Mới đây Trung tâm Phẫu thuật tiêu hóa - Bệnh viện Bạch Mai vừa phẫu thuật một trường hợp người bệnh nuốt nhiều dị vật gây biến chứng thủng đại tràng. Người bệnh được chẩn đoán mắc hội chứng Pica, hay còn gọi là hội chứng thích ăn các đồ vật không phải thức ăn.
Bệnh nhân nam 50 tuổi, không có người thân sống cùng. Tiền sử tâm thần phân liệt 26 năm điều trị thường xuyên tại Bệnh viện Đa khoa tỉnh Nam Định. Theo lời kể của người nhà bệnh nhân, cách vào viện 2 tuần, bệnh nhân tự nuốt 3 chiếc bật lửa, đã được nội soi can thiệp lấy dị vật. Lần này bệnh nhân lại vào viện vì đau bụng, chướng bụng tăng dần. Qua thăm khám lâm sàng, thấy bụng chướng căng, vùng bụng dưới đau, phản ứng mạnh.

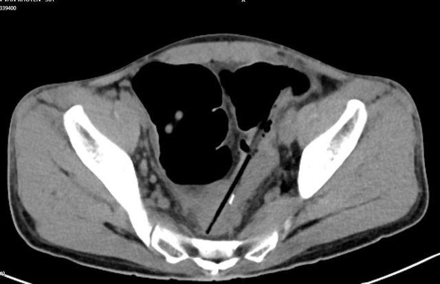
Bệnh nhân được chẩn đoán: Áp xe trong ổ bụng do thủng đại tràng sigma do dị vật, dị vật ruột non/tâm thần phân liệt. Ảnh BV
Chụp cắt lớp ổ bụng thấy hình ảnh 02 dị vật hình que đầu kim loại trong quai ruột vùng hạ vị, đâm xuyên thành ruột tạo ổ dịch khí vùng tiểu khung cạnh cơ bịt phải; Dị vật trong quai ruột hạ sườn phải; Dày thành trực tràng, đại tràng sigma và quai ruột ngang rốn; Giãn lan tỏa các quai ruột non.
Bệnh nhân đã được phẫu thuật cấp cứu: Mở ruột non lấy dị vật (bút bi, ruột bút, tăm nhựa), cắt đoạn đại tràng Sigma bị dị vật xuyên thủng, đóng đầu dưới, đưa đầu trên ra ngoài ổ bụng làm hậu môn nhân tạo; Sau mổ, bệnh nhân ổn định và sẽ phải trải qua một cuộc phẫu thuật nữa để đóng hậu môn nhân tạo, lập lại lưu thông đường tiêu hóa. Phòng ngừa và giám sát người bệnh là vấn đề đặt ra sau mổ để tránh tái diễn tình trạng nuốt dị vật, nếu còn xảy ra những lần sau sẽ rất khó khăn trong việc xử lý.
Hội chứng Pica là gì?
Hội chứng Pica (rối loạn ăn bậy) là chứng rối loạn ăn uống liên quan đến việc ăn những thức ăn không được xem là thực phẩm, không chứa giá trị chất dinh dưỡng… trong thời gian ít nhất một tháng; Hành vi ăn uống không phải là một phần của tập tục chuẩn mực xã hội hoặc được ủng hộ về mặt văn hóa. Thông thường, hội chứng Pica được chẩn đoán bởi các chuyên gia như bác sĩ tâm lý học, bác sĩ chuyên khoa tâm thần.
Theo bác sĩ Lê Văn Duy - Trung tâm Phẫu thuật Tiêu hóa, Bệnh viện Bạch Mai, hội chứng Pica có thể xuất hiện ở trẻ em, người lớn, phụ nữ mang thai hoặc người có rối loạn phát triển, như tự kỷ, thiểu năng trí tuệ hoặc bệnh thần kinh. Nguyên nhân của hội chứng Pica có thể bao gồm thiếu hụt dinh dưỡng (như thiếu sắt hoặc kẽm), căng thẳng tâm lý, rối loạn tâm thần hoặc các vấn đề sức khỏe khác.
Để phòng bệnh, với trẻ em, việc giáo dục và giải thích về các vật liệu nguy hiểm và không ăn được rất quan trọng. Các phụ huynh hoặc người chăm sóc cần giúp trẻ hiểu về sự nguy hiểm của việc ăn các vật thể lạ.
Trong khi đó, người bệnh cần có chế độ ăn đầy đủ dinh dưỡng. Đủ vitamin và khoáng chất trong chế độ ăn sẽ giúp ngăn ngừa tình trạng thiếu hụt dinh dưỡng.
Đảm bảo môi trường sống không có các vật dụng nguy hiểm mà người bệnh có thể ăn phải. Điều này đặc biệt quan trọng đối với trẻ em và người mắc các rối loạn phát triển, rối loạn tâm thần.
Nếu phát hiện hành vi ăn vật thể lạ, cần can thiệp sớm để tránh các vấn đề sức khỏe lâu dài và ngăn chặn tình trạng bệnh trở nên nghiêm trọng.
Mặc dù không phải là một căn bệnh phổ biến trong cộng đồng chung nhưng nếu không được điều trị, hội chứng Pica có thể dẫn đến các vấn đề sức khỏe nghiêm trọng như ngộ độc, viêm nhiễm, tắc nghẽn hoặc tổn thương thủng, rách đường tiêu hóa, gây nhiễm trùng, nhiễm độc tại chỗ và toàn thân có thể dẫn đến tử vong.
Chẩn đoán mắc hội chứng Pica
Thông thường, hội chứng Pica được chẩn đoán bởi các chuyên gia như bác sĩ tâm lý học, bác sĩ chuyên khoa tâm thần. Hội chứng Pica được chẩn đoán bằng bốn tiêu chí cụ thể sau:
- Liên tục ăn một hoặc nhiều vật không phải thực phẩm.
- Hành vi không phù hợp về mặt phát triển và không phải là hành vi được khuyến khích về mặt văn hóa.
- Hành vi xảy ra thường xuyên để cần có sự chăm sóc hoặc giám sát lâm sàng độc lập.
- Trẻ trên 18 tháng tuổi (hành động cho đồ vật vào miệng được coi là hành vi phù hợp về mặt phát triển đối với trẻ dưới 18 tháng tuổi). Tuy nhiên, nếu việc nuốt các vật không ăn được xảy ra rất thường xuyên, thì có thể cần điều trị sớm hội chứng Pica đối với trẻ dưới 18 tháng tuổi.