Căn bệnh bí ẩn còn được gọi là hội chứng Gorham-Stout, hội chứng xương biến mất từng xuất hiện ở một người phụ nữ 44 tuổi, khiến các bác sĩ ở bệnh viện Hoàng gia Edinburgh, Scotland không sao giải thích nổi.
Đây là một tình trạng cực kỳ hiếm hoi, khiến xương của bệnh nhân dần dần biến mất mà không có bất cứ lời giải đáp nào thích đáng.
Căn bệnh này cực hiếm, mới chỉ ghi nhận được 64 trường hợp kể từ lần mô tả đầu tiên vào năm 1838. Với một người khỏe mạnh, xương sẽ tự tái tạo để duy trì sức mạnh cơ thể thế nhưng căn bệnh xương biến mất lại khiến quá trình này bị đảo ngược, xương bị phá hủy nhanh hơn khả năng tái tạo.
![]() |
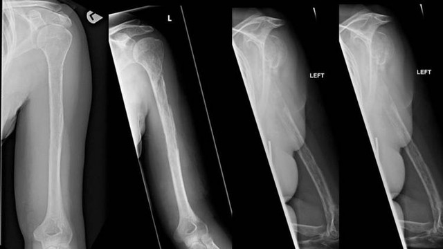
Trong trường hợp của người phụ nữ 44 tuổi tại bệnh viện Hoàng gia Edinburgh, cô đến khám và phàn nàn về cơn đau bất thường ở vai trái. Chụp X-quang cho thấy có tổn thương trên xương của cô. Mới đầu các bác sĩ tưởng đó là dấu hiệu ung thư rõ ràng thế nhưng kết quả sinh thiết lại chứng minh phán đoán này không chính xác.
Trong hơn một năm tiếp theo, các triệu chứng đau của bệnh nhân lại càng trầm trọng. Cô bị đau, sưng ở cánh tay, va đập nhẹ cũng có thể khiến xương bị gãy đầy đau đớn. Thế nhưng các bác sĩ vẫn không có kết luận chính xác.
![]() |
Cuối cùng, sau 18 tháng ròng, các bác sĩ cũng có câu trả lời. Bằng cách quan sát các ảnh chụp X-quang, bác sĩ nhận thấy cấu trúc xương trong cơ thể người phụ nữ mờ dần sau mỗi lần tái khám. Nhiều xét nghiệm được tiến hành và cũng xác nhận rằng xương của bệnh nhân biến mất theo nghĩa đen. Tuy nhiên, các mạch máu lại tăng trưởng thay thế cho mô xương của cô.
Mời quý vị xem video: Bác sĩ hướng dẫn cách giúp trẻ ngủ ngon giấc
Đáng tiếc, dù chẩn đoán ra căn bệnh này thế nhưng tính đến thời điểm hiện tại, vẫn chưa tìm ra được nguyên nhân gây bệnh, cũng không có các điều trị cụ thể và dứt điểm cho hội chứng kỳ lạ này.
Các bác sĩ chỉ có thể lựa chọn loại bỏ vùng xương bị ảnh hưởng rồi ghép xương mới để khuyến khích cơ thể bệnh nhân tự sửa chữa. Một số khác có thể lựa chọn xạ trị và dùng thuốc.
Tin vui là mặc dù căn bệnh khá đáng sợ nhưng tỷ lệ xuất hiện thấp, bệnh chỉ gây ra tử vong khi lây lan đến phần đốt sống.

