Bệnh viện Thống Nhất vừa tiếp nhận và xử trí thành công trường hợp áp xe gan hiếm gặp do dị vật đường tiêu hóa gây ra. Người bệnh là ông N.T.H (58 tuổi, ngụ phường Bảy Hiền, TP HCM), nhập viện trong tình trạng đau bụng kéo dài, kèm nhiều bệnh lý nền phức tạp.
Theo hồ sơ bệnh án, khoảng một tháng trước khi vào viện, bệnh nhân thường xuyên bị đau bụng quanh rốn kèm nôn 2–3 lần/ngày và tự ý dùng thuốc giảm đau nhưng không cải thiện.
Khi vào Bệnh viện Thống Nhất, bệnh nhân được ghi nhận có tiền sử tăng huyết áp, đái tháo đường, béo phì và xuất hiện nhiễm trùng ổ bụng.

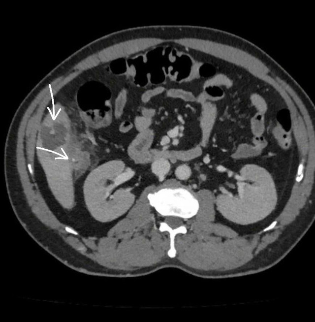
Kết quả chẩn đoán hình ảnh (CT scan) cho thấy một mảnh xương nhỏ xuyên qua thành đại tràng tại góc gan, găm vào nhu mô gan hạ phân thùy V, tạo ổ áp xe kích thước 56x36mm, kèm viêm dày thành đại tràng vùng góc gan. Đây là nguyên nhân chính gây ra ổ nhiễm trùng nguy hiểm.
Các bác sĩ Bệnh viện Thống Nhất đã tiến hành phẫu thuật nội soi, lấy dị vật và xử lý ổ áp xe thành công. BS.CK1 Nguyễn Anh Tùng, Khoa Phẫu thuật Gây mê hồi sức cho biết sau phẫu thuật, bệnh nhân đáp ứng với điều trị, tình trạng dần ổn định và được chuyển sang Khoa Ngoại Tiêu hóa để tiếp tục điều trị.
BS.CK1 Lê Tiến Dũng, Khoa Ngoại Tiêu hóa thông tin thêm: Các triệu chứng nhiễm trùng của bệnh nhân hiện đã cải thiện rõ, chức năng gan – thận dần ổn định, sức khỏe hồi phục tốt.

Các bác sĩ khuyến cáo trong ăn uống cần đặc biệt lưu ý, tránh để xương – nhất là xương cá – lọt vào đường tiêu hóa, vì có thể gây biến chứng nặng nề, thậm chí nguy hiểm tính mạng.
Bên cạnh đó, khi có triệu chứng đau bụng kéo dài, người bệnh cần đến bệnh viện thăm khám sớm, không nên tự ý dùng thuốc tại nhà để tránh nhập viện muộn, khiến việc điều trị khó khăn và nguy cơ biến chứng tăng cao.
Một trong những sai lầm của nhiều người là áp dụng các cách chữa mẹo, tự ý xử lý tại nhà bằng biện pháp dân gian khi nuốt phải xương trước khi tìm đến các cơ sở y tế.
Các phương pháp như nuốt cơm, nuốt một số loại quả, vỏ, lá… rất rủi ro, càng làm xương đâm sâu vào thực quản, gây hậu quả nghiêm trọng. Trường hợp nuốt trôi xuống đường tiêu hóa dưới cũng có thể đâm vào dạ dày, ruột gây thủng, nguy hiểm tới tính mạng.
Vì vậy, khi thấy có dấu hiệu bị hóc xương, cần ngay lập tức ngưng nuốt. Cần cố gắng nôn ọe ra càng sớm càng tốt. Khi đã bị hóc, không nên ăn bất cứ thứ gì nhằm đẩy xương xuống mà nhanh chóng đến bệnh viện để giải quyết.