Khoa Cấp cứu, Bệnh viện Nhân Dân 115 vừa tiếp nhận và điều trị thành công một trường hợp thuyên tắc phổi nặng biến chứng sốc, đe dọa tính mạng.
Theo bác sĩ Đỗ Công Tuấn, khoa Cấp cứu, Bệnh viện Nhân dân 115 (TP HCM), bệnh nhân đang làm việc ngoài đồng thì đột ngột chóng mặt, tức ngực rồi ngất khoảng 2 phút. Khi tỉnh lại, người nhà phát hiện và đưa vào bệnh viện địa phương trong tình trạng tụt huyết áp, được nghi ngờ nhồi máu cơ tim biến chứng sốc tim.
Sau khi được xử trí ban đầu, bệnh nhân được chuyển đến Bệnh viện Nhân dân 115. Tại đây, bác sĩ ghi nhận người bệnh khó thở, huyết áp không đo được, mạch nhanh. Điện tim và siêu âm tim cho thấy dấu hiệu quá tải thất phải cấp tính, đặc trưng của thuyên tắc phổi nặng.

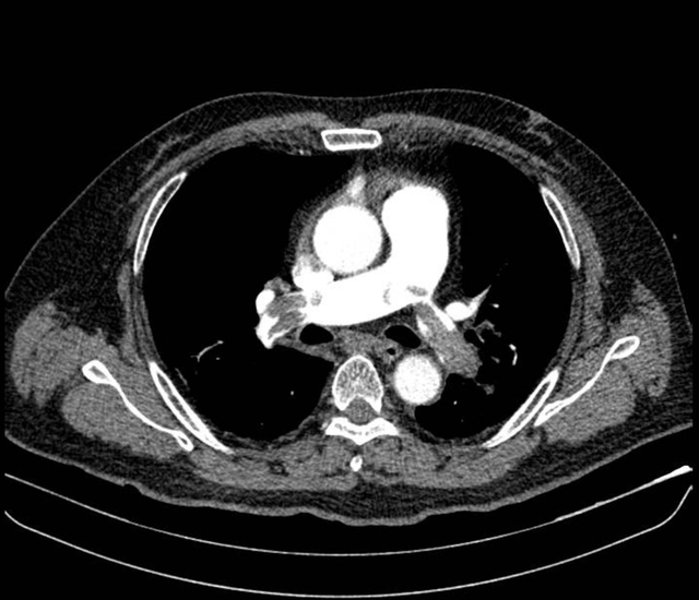
Hình ảnh chụp CT mạch máu phổi cho thấy huyết khối lớn bít tắc động mạch phổi hai bên. Ảnh BV
Bệnh nhân nhanh chóng được dùng thuốc vận mạch để ổn định huyết áp, chụp CT mạch máu phổi. Kết quả cho thấy huyết khối lớn bít tắc hai nhánh động mạch phổi. Các bác sĩ khoa Cấp cứu phối hợp Khoa Hồi sức tích cực xác định đây là trường hợp sốc tắc nghẽn do thuyên tắc phổi nguy cơ cao.
Người bệnh được chỉ định sử dụng thuốc tiêu sợi huyết, là phương pháp điều trị giúp làm tan cục máu đông trong mạch phổi. Sau khi chuyển Hồi sức tích cực để tiếp tục theo dõi, bệnh nhân dần hồi phục, huyết áp ổn định, hết khó thở, chức năng tim phải cải thiện. Sau một tuần điều trị, ông được xuất viện và trở lại sinh hoạt bình thường.
Theo các bác sĩ, nguyên nhân phổ biến nhất gây thuyên tắc phổi là do cục máu đông hình thành từ tĩnh mạch sâu chi dưới di chuyển đến phổi. Ở người bệnh này siêu âm mạch máu chi dưới ghi nhận có huyết khối tĩnh mạch đùi chung trái và tĩnh mạch khoeo trái. Khai thác tiền sử không ghi nhận tiền căn bệnh lý nhưng có hút thuốc lá khoảng 1 gói/ngày. Hút thuốc lá không phải nguyên nhân trực tiếp gây thuyên tắc phổi, tuy nhiên làm tăng nguy cơ huyết khối tĩnh mạch sâu chi dưới và có thể dẫn đến biến chứng nguy hiểm như thuyên tắc phổi, ngoài ra hút thuốc lá còn gây rất nhiều bệnh tim mạch và hô hấp khác. Do vậy người bệnh này khi xuất viện được các bác sĩ yêu cầu ngưng thuốc lá và tuân thủ sử dụng thuốc theo chỉ định của bác sĩ.

Hình ảnh cục máu đông di chuyển qua tim đến động mạch phổi và gây bít tắc dẫn đến tình trạng thuyên tắc phổi. Ảnh minh hoạ/Nguồn medlatec.vn
Thuyên tắc phổi hay còn gọi là nhồi máu phổi hay tắc mạch phổi, bệnh là tình trạng tắc đột ngột các nhánh động mạch của phổi, do các nguyên nhân như cục máu đông, cục mỡ… việc bít tắc đột ngột nhánh động mạch này sẽ làm cho một phần của phổi bị thiếu dinh dưỡng và bị tổn thương, đồng thời lượng máu đi qua phổi đi nuôi cơ thể sẽ bị giảm cung cấp oxy, gây ảnh hưởng cho toàn bộ các cơ quan - bộ phận khác trong cơ thể, bao gồm cả những cơ quan quan trọng như hệ thần kinh, hệ tuần hoàn…
Đồng thời, việc bít tắc tại phổi dẫn đến làm tăng áp suất máu lên tim bên phải, khiến tim to lên và co bóp kém hơn, dẫn đến không thể bơm máu đi khắp cơ thể, càng làm nguy hiểm hơn tình trạng thiếu oxy trong cơ thể. Nếu không được cấp cứu kịp thời, việc bít tắc này có thể dẫn đến tình trạng sốc và đe dọa tính mạng của người bệnh.
Các triệu chứng của bệnh thuyên tắc phổi thường giống với các triệu chứng của một số bệnh lý khác như viêm phổi, nhồi máu cơ tim, choáng… nên dễ nhầm lẫn và có thể bị bỏ sót. Vì thế, người bệnh nếu thấy có các triệu chứng này cần đến ngay cơ sở y tế gần nhất để được khám và chẩn đoán chính xác, tránh bỏ sót bệnh lý nguy hiểm này.