Vừa qua, Bệnh viện Quân y 175 đã tiếp nhận và kịp thời cứu sống một nữ bệnh nhân trẻ bị tai nạn giao thông nghiêm trọng, trong tình trạng đa chấn thương và sốc chấn thương nặng.
Kích hoạt "báo động đỏ" cứu bệnh nhân sốc đa chấn thương nguy kịch
Bệnh nhân là N.T.H (24 tuổi, ngụ tại TP HCM). Trước đó, vào khoảng 22h ngày 13/9/2025, chị H. bị xe container tông, được chuyển đến Bệnh viện Quân y 175 trong tình trạng sốc chấn thương/đa chấn thương nặng, gồm: Chấn thương ngực kín: dập phổi phải; Chấn thương bụng kín: vỡ bàng quang và buồng trứng phải, gây xuất huyết ổ bụng; Gãy gai ngang đốt sống L2–L5; Gãy phức tạp khung chậu kiểu “gió thổi”.
Đại tá, TS.BS Phan Đình Mừng, Giám đốc Viện Chấn thương Chỉnh hình, Phó Giám đốc Bệnh viện Quân y 175, cho biết: “Đây là trường hợp chấn thương phức tạp, người bệnh có tiên lượng xấu, nguy cơ tử vong cao. Ngay khi tiếp nhận, bệnh viện đã kích hoạt hệ thống báo động đỏ, huy động lực lượng liên chuyên khoa nỗ lực cứu chữa bệnh nhân”.

Ngay trong đêm, ca phẫu thuật liên chuyên khoa được triển khai khẩn cấp. Các bác sĩ đã thực hiện cố định ngoài khung chậu để ổn định vùng xương gãy, ngăn ngừa tổn thương nội tạng, đồng thời khâu bàng quang, bảo vệ hệ tiết niệu và khâu buồng trứng phải.
Sau nhiều giờ khẩn trương trong phòng mổ, ê-kíp phẫu thuật đã ngăn chặn được tình trạng sốc đa chấn thương, cầm máu thành công và giành lại sự sống cho bệnh nhân.
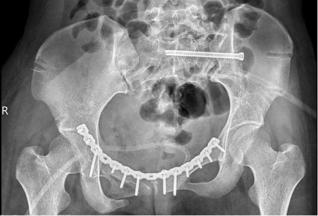
Sau 2 tuần điều trị tích cực, khi huyết động ổn định, bệnh nhân được tháo cố định ngoài và phẫu thuật lần hai để nắn chỉnh lại các di lệch (có sử dụng công nghệ in 3D giúp tiên lượng mức độ khó của phẫu thuật và chọn các nắn chỉnh khung chậu và vị trí đặt nẹp) kết hợp xương bằng nẹp vít bên trong, giúp cố định vững chắc khung chậu.
Đến ngày 6/10/2025, bệnh nhân có thể ngồi dậy và xuất viện về nhà.

Phẫu thuật khung chậu phức tạp, kỹ thuật cao, hiếm gặp
BSCKI Trần Quang Khanh, Khoa Phẫu thuật chi dưới, Viện Chấn thương Chỉnh hình, Bệnh viện Quân y 175, một trong những bác sĩ trực tiếp tham gia phẫu thuật, cho biết: “Bệnh nhân bị gãy khung chậu kiểu ‘gió thổi’ (Windswept pelvic ring fracture) – một dạng gãy rất phức tạp, chiếm khoảng 6% các trường hợp gãy khung chậu.
Đây là loại gãy do chấn thương năng lượng cao, kết hợp giữa lực nén trước–sau và lực tác động bên, khiến một bên cánh chậu mở ra, bên còn lại khép lại, tạo hình ảnh đặc trưng như ‘bị gió thổi’. Thường tổn thương còn đi kèm gãy xương cùng và tổn thương khớp mu, làm mất vững toàn bộ vòng chậu, gây nguy hiểm tính mạng nếu không được xử trí đúng cách”.
“Vì vậy, mục tiêu điều trị là phục hồi cấu trúc giải phẫu khung chậu và cố định vững chắc bằng nẹp vít, giúp bệnh nhân sớm vận động trở lại. Ở trường hợp này, khung chậu mất vững cả cung trước và sau, nên sau khi nắn chỉnh, chúng tôi cố định cung trước bằng nẹp vít và cung sau bằng vít xốp”, BS Khanh chia sẻ.

Đại tá, TS.BS Phan Đình Mừng nhấn mạnh, đây là một trong nhiều ca bệnh nguy hiểm được cấp cứu thành công, minh chứng cho sự phối hợp nhịp nhàng, kịp thời giữa các chuyên khoa. Việc chẩn đoán chính xác, xử trí nhanh chóng và phẫu thuật đúng thời điểm đã giúp bệnh nhân được cứu sống và hồi phục ngoạn mục.
Trong vài năm gần đây, Bệnh viện Quân y 175 đã tiếp nhận và xử trí thành công nhiều trường hợp gãy khung chậu phức tạp, trong đó có một số ca gãy kiểu “gió thổi”.
Tuy nhiên, đây là một trong những ca hiếm hoi bệnh nhân bị đa chấn thương kết hợp nặng mà vẫn được cứu sống và phục hồi tốt, nhờ kích hoạt kịp thời hệ thống “báo động đỏ liên chuyên khoa” cùng năng lực phẫu thuật chuyên sâu của đội ngũ bác sĩ Viện Chấn thương Chỉnh hình.