![]() |
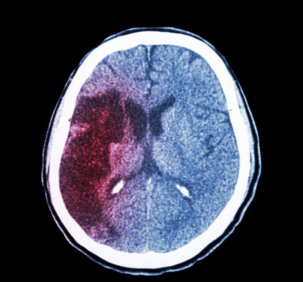
| Xuất huyết não là một loại đột quỵ, xảy ra khi máu thoát khỏi thành mạch, tràn vào mô não, gây tổn thương não. Xuất huyết não có tỷ lệ mắc khá cao, thường xảy ra ở những người trên 50 tuổi. (Ảnh: ABLW, minh họa) |
![]() |
| Vậy nhưng những năm gần đây, tỷ lệ mắc xuất huyết não ngày càng trẻ hóa. Điều này liên quan đến nhiều thói quen không tốt như uống rượu, hút thuốc, thừa cân... |
![]() |
| Bệnh nhân xuất huyết não nặng có tỷ lệ tử vong cao, tiên lượng phụ thuộc chủ yếu vào kích thước khối máu tụ trong não. May mắn thay, trước khi tình trạng xuất hiện, cơ thể sẽ phát những dấu hiệu cảnh báo xuất huyết não điển hình. |
![]() |
| Đau đầu dữ dội. Trước khi tình trạng xuất huyết não xảy ra, hầu hết người bệnh sẽ có triệu chứng đau đầu. Không giống trường hợp đau đầu thông thường, đau đầu do xuất huyết não dữ dội kèm theo tình trạng chóng mặt, buồn nôn và nôn. Nếu xuất huyết ở tiểu não, bệnh nhân cảm thấy đau nhói vùng chẩm sau. |
![]() |
| Nấc liên tục. Nấc cụt là dấu hiệu thường thấy trước khi tình trạng xuất huyết não xảy ra. Nguyên nhân bởi xuất huyết não ảnh hưởng đến các dây thần kinh ở đường tiêu hóa, gây rối loạn chức năng tiêu hóa. |
![]() |
| Bên cạnh đó, xuất huyết não cũng gây hiện tượng chèn ép các dây thần kinh giao cảm ở cổ, gây hiện tượng nấc cụt. |
![]() |
| Buồn ngủ. Trước khi xuất huyết não cấp tính, trong não xuất hiện triệu chứng chảy máu nhẹ, mô não bị chèn ép, ảnh hưởng đến việc cung cấp máu cho não. |
![]() |
| Lượng máu cung cấp cho não không đủ dẫn đến lượng oxy cung cấp cho não không đủ, đồng thời gây tăng áp lực nội sọ và co bóp bất thường của mạch máu não. Tình trạng trên khiến bệnh nhân cảm thấy buồn ngủ. Ngủ dậy sau giấc dài, bệnh nhân vẫn có hiện tượng ngáp, cảm thấy mệt mỏi, suy nhược. |
![]() |
| Nghẹn. Nghẹn là triệu chứng thường xảy ra trước khi tình trạng xuất huyết não khởi phát. Khi đó, bệnh nhân dễ sặc và ho dù chỉ uống nước; khàn giọng, khó nuốt hầu hết các loại thức ăn. Lý giải hiện tượng này, chuyên gia cho biết khi xuất huyết não, dây thần kinh thiệt hầu ở thân não rất dễ bị tổn thương, gây nên hiện tượng nghẹn. |
![]() |
| Cơ thể tê bì. Trước khi xuất huyết não, nhiều bệnh nhân sẽ có tình trạng tê bì toàn thân, biểu hiện tập trung ở chi trên, chi dưới và mặt. Tình trạng tê bì biểu hiện rõ nhất ở phần chi trên, khiến người bệnh khó cầm nắm ngay cả những vật dụng thông thường. |
![]() |
| Trường hợp nặng, bệnh nhân còn có biểu hiện khóe miệng cong lên, chảy nước dãi không kiểm soát, giọng nói không rõ ràng, mắt mờ. |
![]() |
| Nhìn chung, bệnh nhân xuất huyết não có thể có một vài hoặc cả năm triệu chứng trên. Khi thấy những dấu hiệu này, bạn cần sớm đến bệnh viện để thăm khám, phát hiện và điều trị kịp thời. |
![]() |
| Lưu ý, khi phát hiện những dấu hiệu xuất huyết não, người bệnh cần giữ bình tĩnh, không tự ý đi lại, không tự ý uống thuốc. Mọi bất cẩn thời điểm này đều có thể khiến các triệu chứng nặng hơn, gây xuất huyết cấp tính, đe dọa trực tiếp tính mạng người bệnh. |
Mời độc giả xem thêm video: Sâu răng có thể làm tăng nguy cơ đột quỵ não (Nguồn video: THĐT)














