Lần đầu Việt Nam điều trị phổi biệt lập bằng robot thành công

Lần đầu tiên tại Việt Nam, Bệnh viện Bình Dân báo cáo điều trị dị tật phổi hiếm bằng robot.

Ngày 4/3/2026, Bệnh viện Bình Dân (TP HCM) cho biết vừa phẫu thuật robot thành công cắt thùy dưới phổi trái cho ông N.N.T. (56 tuổi, Tây Ninh), mắc phổi biệt lập nội thùy – một dị tật bẩm sinh hiếm gặp. Đây là trường hợp điều trị phổi biệt lập bằng robot đầu tiên được báo cáo tại Việt Nam.

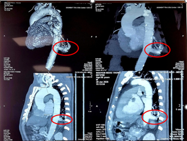
Tổn thương của bệnh nhân có kích thước 23 x 26mm, được nuôi bởi một nhánh động mạch xuất phát trực tiếp từ động mạch chủ xuống, đường kính tới 17mm. Theo ThS.BSCKII Nguyễn Văn Việt Thành, Trưởng khoa Ngoại Lồng ngực – Bướu cổ, khó khăn lớn nhất là xử lý mạch máu lớn, thành mạch dễ vỡ và dính do viêm mạn tính; chỉ một sai sót nhỏ có thể gây chảy máu nghiêm trọng.

Hình chụp tình trạng ngực của bệnh nhân.

Sau hội chẩn toàn viện, ê-kíp quyết định lựa chọn phẫu thuật robot để tối ưu độ chính xác và an toàn. Công nghệ này cung cấp hình ảnh 3D phóng đại rõ nét, cánh tay linh hoạt và loại bỏ rung tay tự nhiên, hỗ trợ bóc tách, kiểm soát mạch máu sát động mạch chủ tinh vi hơn.

Ca mổ diễn ra khoảng 120 phút, khối phổi biệt lập được cắt trọn, không tổn thương động mạch chủ, không biến chứng. Nhờ không phải banh sườn, chỉ qua các lỗ trocar nhỏ, bệnh nhân ít đau, hồi phục nhanh và xuất viện sau 4 ngày.

Bệnh nhân hồi phục sau mổ.

Phổi biệt lập (Bronchopulmonary Sequestration – BPS) chiếm tỷ lệ rất thấp trong các dị tật phổi, thường nằm ở thùy dưới phổi trái. Phần mô này không tham gia hô hấp nhưng nhận máu trực tiếp từ hệ động mạch chủ áp lực cao, tiềm ẩn nguy cơ xuất huyết, nhiễm trùng tái phát hoặc quá tải tim nếu không điều trị kịp thời. Phẫu thuật là phương pháp điều trị duy nhất và nên thực hiện sớm trước khi xảy ra biến chứng.

Thành công của ca mổ đánh dấu bước tiến chuyên môn, mở thêm cơ hội cho người bệnh trong nước tiếp cận kỹ thuật ngoại khoa hiện đại, an toàn.

Long An: Đầu tư 300 tỷ đồng xây dựng mới Bệnh viện Phổi

(Vietnamdaily) - Với mục tiêu đáp ứng yêu cầu khám, chữa bệnh ngày càng cao cho nhân dân, ngày 18/02/2025, UBND tỉnh Long An đã phê duyệt Quyết định 1514/QĐ-UBND dự án xây mới bệnh viện Phổi với tổng mức đầu tư 300 tỷ đồng.

Theo thông tin đăng tải công khai trên mạng đấu thầu quốc gia (muasamcong.mpi.gov.vn), dự án sử dụng ngân sách tỉnh với mục tiêu đáp ứng yêu cầu khám, chữa bệnh ngày càng cao cho Nhân dân. Kết hợp với các bệnh viện khác của tỉnh, hình thành mạng lưới y tế đồng bộ phục vụ kịp thời nhu cầu chăm sóc sức khỏe cho người dân; nâng cao chất lượng khám bệnh, chữa bệnh về lao và phổi.
Ngày 26/03/2025, UBND tỉnh Long An đã phê duyệt kế hoạch lựa chọn nhà thầu theo Quyết định số 3074/QĐ-UBND.

Giám đốc Bệnh viện K: Hầu hết bệnh nhân ung thư phổi được phát hiện ở giai đoạn muộn

Giám đốc Bệnh viện K: Hầu hết bệnh nhân ung thư phổi được phát hiện ở giai đoạn muộn

Ung thư phổi là nguyên nhân gây tử vong cao thứ hai tại Việt Nam, sau ung thư gan, do hầu hết bệnh nhân được phát hiện ở giai đoạn muộn, chỉ 15% sống thêm 5 năm.

Sáng 11/4, tại hội thảo “Sàng lọc ung thư phổi: Kinh nghiệm quốc tế và định hướng tại Việt Nam”, GS.TS. Lê Văn Quảng - Giám đốc Bệnh viện K, Viện trưởng Viện Ung thư quốc gia - cho biết, ung thư phổi hiện là nguyên nhân tử vong do ung thư cao thứ hai tại Việt Nam, chỉ sau ung thư gan do hầu hết bệnh nhân được phát hiện ở giai đoạn muộn, chỉ 15% sống thêm 5 năm.

Theo đó, gần như tất cả các trường hợp mắc ung thư phổi đều liên quan đến hút thuốc lá. Với trẻ em, phụ nữ tuy không hút thuốc trực tiếp, nhưng họ lại chịu tác động của khói thuốc thụ động.

TP HCM: Đầu tư hơn 1.581 tỷ xây mới khu điều trị Bệnh viện Bệnh Nhiệt đới

Công trình gồm khối nhà 12 tầng nổi, 2 tầng hầm với tổng diện tích sàn gần 33.000 m², góp phần hoàn thiện hệ thống y tế chuyên khoa truyền nhiễm của Thành phố.

UBND TP HCM vừa ban hành quyết định chấp thuận chủ trương đầu tư dự án Xây dựng mới Khu điều trị nội trú và Khu cận lâm sàng của Bệnh viện Bệnh Nhiệt đới. Dự án do Ban Quản lý dự án đầu tư xây dựng các công trình dân dụng và công nghiệp làm chủ đầu tư.

Mục tiêu của dự án nhằm đáp ứng nhu cầu khám chữa bệnh ngày càng tăng của nhân dân TP HCM và các tỉnh lân cận; đồng thời từng bước hoàn thiện quy hoạch phát triển ngành y tế Thành phố. Qua đó, Bệnh viện Bệnh Nhiệt đới sẽ tiếp tục khẳng định vai trò là bệnh viện chuyên khoa đầu ngành trong điều trị các bệnh nhiễm trùng và truyền nhiễm của cả nước.