![]() |
| 1. Đây là thiết bị kỳ lạ được các bác sĩ dùng để "cố định" em bé khi chụp X-quang. |
![]() |
| 2. Bức ảnh chụp một cốc coca cola mà bọt sủi của nó sắp xếp vô tình thế nào lại giống bản đồ thế giới. |
![]() |
| 3. Tại Ireland, sự hiện diện của "những chàng trai đội rơm" (những người đàn ông đội mũ rơm che mặt) trong một đám cưới được cho là sẽ mang lại may mắn và sức khỏe cho cặp vợ chồng. |
![]() |
| 4. Ai muốn cạo râu nào? "Máy cạo râu hàng loạt" quả là một "phát minh vĩ đại" vào đầu thế kỷ XIX. Mục đích của chiếc máy này là cạo râu cho hàng chục người đàn ông cùng một lúc. |
![]() |
| 5. Một bức ảnh siêu hiếm cho thấy cảnh tượng khi nước sông tràn vào rừng và bị đóng băng. |
![]() |
| 6. Cầu vồng như thể chuẩn bị nhảy từ đám mây. Đây là một trong những bức ảnh siêu hiếm bạn cần phải chiêm ngưỡng ít nhất một lần trong đời |
![]() |
| 7. Vi khuẩn trên bàn tay của một bé trai 8 tuổi sau khi nô nghịch ngoài trời được nuôi trong đĩa petri. Hãy luôn rửa tay trước khi ăn! |
![]() |
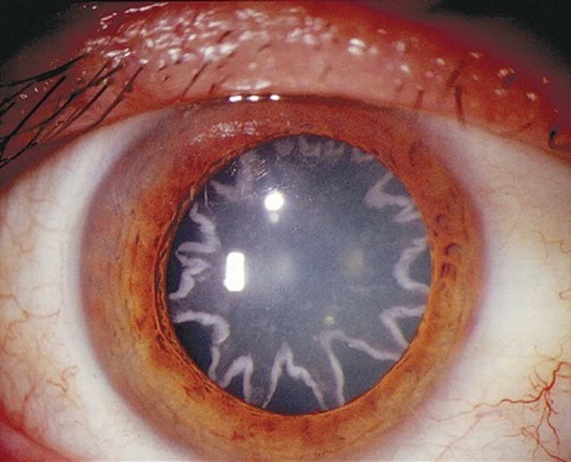
| 8. Con mắt của một thợ điện sau khi trải qua hơn 14.000 lần bị điện giật. |
Mời quý độc giả xem thêm video: “Ngẩn ngơ” ngắm những bức ảnh cưới ấn tượng nhất năm 2023.












