
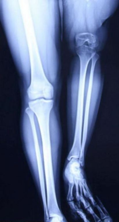
Xu Juan, 21 tuổi, bị nhiễm trùng xương khi cô là một đứa trẻ, và không được điều trị kịp thời khiến xương đùi bị vi khuẩn ăn mòn.

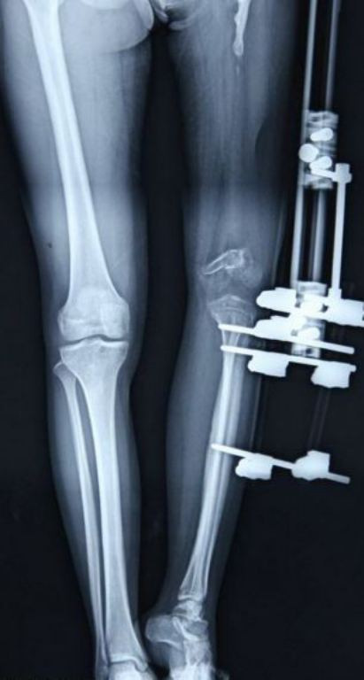
Xu đã trải qua 4 ca phẫu thuật kéo dài từ tháng 10/2012 đến tháng 10/2013, chân trái của cô đã được kéo dài 23cm, và cô đã có thể bước đi được mà không cần đến nạng đỡ nữa.

Ở giai đoạn thứ nhất, các bác sĩ đã gắn 1 khung kim loại vào chân của Xu và mỗi ngày cô gái trẻ phải nới thiết bị này một chút để kéo dài chân thêm 1 mm.

Sau một năm kéo dài chân, vào tháng 10/2013 Xu được phẫu thuật thay khớp gối và hông nhân tạo. Giai đoạn thứ hai này đã hoàn tất vào cuối tháng 2/2014 và các bác sĩ cho hay sau một vài tháng phục hồi chức năng, Xu sẽ có thể đi lại bình thường.

Hình ảnh Xu với đôi chân ngắn dài không bằng nhau trước khi phẫu thuật kéo dài chân.

Bác sĩ đang kiểm tra chức năng hoạt động của đôi chân đã được nối dài.

Xu cần một vài tháng phục hồi trước khi có thể đi lại bình thường.