![]() |
| Lý Thiến Sơn là giáo viên tiểu học tâm huyết. Mỗi ngày, cô đều nỗ lực làm việc tới đêm mới ngủ, mong trau dồi kiến thức để truyền tải đến học sinh. (Ảnh minh họa) |
![]() |
| Tháng 10 năm ngoái, Lý Thiến Sơn bị ho kéo dài. Lúc đầu, cô nghĩ bản thân bị cảm lạnh, lại thức khuya liên tục khiến cơ thể suy nhược, bệnh khó lành. Trong thời gian này, Lý Thiến Sơn không đi khám, chỉ mua thuốc về uống. Ảnh: Boldsky. |
![]() |
| Đến tháng 12, tình trạng sức khỏe Lý Thiến Sơn không cải thiện mà còn nặng hơn. Cô thường xuyên có cảm giác tức ngực, đau bụng. Mỗi khi ngửi mùi khói thuốc lá do chồng hút, cơn ho của Lý Thiến Sơn càng trầm trọng. (Ảnh minh họa) |
![]() |
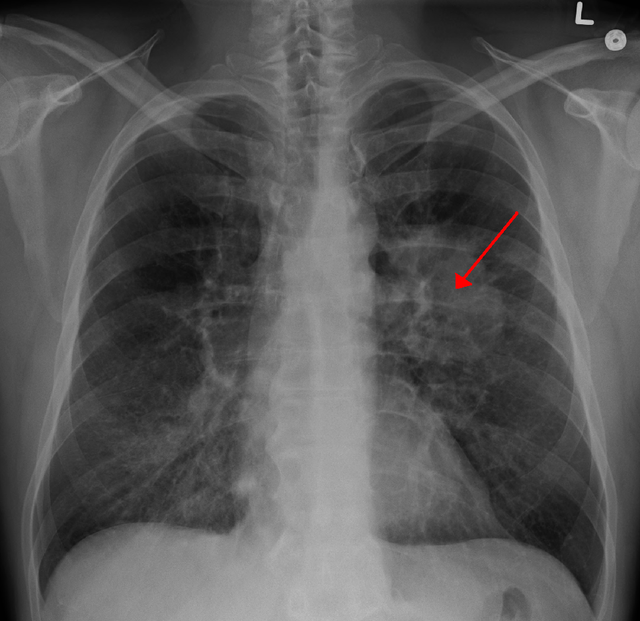
| Tranh thủ kỳ nghỉ đông, Lý Thiến Sơn đến bệnh viện địa phương khám. Kết quả ban đầu không mấy khả quan nên bác sĩ chỉ định thực hiện thêm nhiều xét nghiệm khác. Kết quả cho thấy, Lý Thiến Sơn mắc ung thư phổi. (Ảnh minh họa) |
![]() |
| Tế bào ung thư đã di căn tới gan khiến bệnh nhân đau bụng dữ dội. May mắn thay, khối u của Lý Thiếu Sơn được kiểm soát, những cơn đau bụng cũng không còn. Ảnh: Boldsky. |
![]() |
| Về trường hợp bệnh trên, bác sĩ cho biết mỗi người nên học cách lắng nghe cơ thể. Khi có biểu hiện bất thường, nên đi khám để được điều trị kịp thời, tránh bỏ qua “giai đoạn vàng”, ảnh hưởng đến hiệu quả can thiệp. (Ảnh minh họa) |
![]() |
| Theo bác sĩ, ho là cơ chế phản xạ hô hấp bảo vệ cơ thể. Khi tiếp xúc với vật lạ hoặc khí gây kích thích, niêm mạc đường hô hấp sẽ có phản ứng này. Ảnh: CC. |
![]() |
| Ho có thể được chia làm 3 loại dựa theo thời gian và mức độ nghiêm trọng. Theo đó, thời gian ho kéo dài dưới 3 tuần được đánh giá là cơn ho cấp tính; từ 3-8 tuần là ho bán cấp; thời gian trên 8 tuần là ho mãn tính, thường do các bệnh hô hấp mãn tính gây ra. (Ảnh minh họa) |
![]() |
| Phản xạ ho xuất hiện gần như suốt thời gian người bệnh mắc ung thư phổi. Tuy vậy, không phải mọi trường hợp bị ho đều do căn bệnh này. Ho báo hiệu ung thư phổi sẽ có những đặc điểm dưới đây. (Ảnh minh họa) |
![]() |
| Ho không rõ nguyên nhân. Người bệnh bị ho song không phải do cảm lạnh, viêm họng hay viêm phế quản. (Ảnh minh họa) |
![]() |
| Ho khan khó chịu. Ho do ung thư phổi thường là ho khan khó chịu. Người bệnh sẽ có cảm giác vướng đờm, ho nhiều nhưng không đẩy được đờm ra. Một số trường hợp ho ra đờm có bọt trắng, mủ vàng. Nếu bệnh tiến triển xấu, đờm sẽ chuyển sang mà đỏ đục. (Ảnh minh họa) |
![]() |
| Ho tăng nặng theo thời gian. Người bệnh ung thư phổi sẽ ho kéo dài. Tình trạng sẽ không thuyên giảm, ngày càng nặng hơn khi bạn dùng các loại thuốc kháng sinh thông thường. (Ảnh minh họa) |
![]() |
| Ho khan không ngắt quãng. Ho do các bệnh hô hấp như viêm họng, viêm phế quản thường kéo dài từng đợt để tống dịch đờm. Trong khi đó, ho do ung thư phổi thường là những cơn ho khan mạnh không ngắt quãng. (Ảnh minh họa) |
Mời độc giả xem thêm video: Ung thư phổi có dễ nhầm với các bệnh hô hấp khác? (Nguồn video: Vinmec)























