Cảnh báo dấu hiệu ở đầu là triệu chứng của ung thư phổi

Ngoài các dấu hiệu xuất hiện ở phổi, bệnh nhân mắc ung thư phổi có thể gặp những triệu chứng bất thường ở đầu.

Canh bao dau hieu o dau la trieu chung cua ung thu phoi
Khi nhắc đến bệnh ung thư phổi, đầu tiên nhiều người sẽ nghĩ ngay đến các triệu chứng như ho, khó thở, ho ra máu,… Tuy nhiên, căn bệnh này có thể di căn ở một số vị trí khác trong cơ thể. (Ảnh: wcrf.org)
Canh bao dau hieu o dau la trieu chung cua ung thu phoi-Hinh-2
Chẳng hạn, gần đây, một bệnh nhân nhập viện điều trị ngoại trú do lên cơn đau đầu và tưởng là tai biến mạch máu não. (Ảnh: acc.vn) 
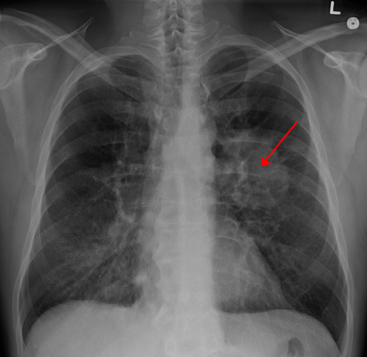
Canh bao dau hieu o dau la trieu chung cua ung thu phoi-Hinh-3
 Qua thăm khám, bác sĩ phát hiện một khối u di căn nội sọ, và khi kiểm tra kỹ hơn thì phát hiện khối u nguyên phát nằm ở phổi. Ảnh: Boldsky.
Canh bao dau hieu o dau la trieu chung cua ung thu phoi-Hinh-4
Do ung thư phổi rất dễ di căn ở đầu nên khi có một số tín hiệu bất thường ở đầu, bạn cũng nên cảnh giác với vấn đề sức khỏe của phổi. (Ảnh: MedicineNet)
Canh bao dau hieu o dau la trieu chung cua ung thu phoi-Hinh-5
Đầu tiên là đau đầu. Khi ung thư phổi di căn lên đầu dễ gây tăng áp nội sọ dẫn đến phù não, sau khi kích thích màng não sẽ gây đau đầu. (Ảnh: ABLW) 
Canh bao dau hieu o dau la trieu chung cua ung thu phoi-Hinh-6
Nhìn mờ. Khi ung thư phổi di căn lên đầu, áp lực nội sọ tăng lên sẽ gây phù gai thị, từ đó dẫn đến hiện tượng mờ mắt. (Ảnh: Healthline) 
Canh bao dau hieu o dau la trieu chung cua ung thu phoi-Hinh-7
Chóng mặt. Nhiều bệnh nhân cảm thấy chóng mặt, choáng váng, như thể có bom dội vào đầu. Lúc này, chúng ta cũng nên cảnh giác với hiện tượng u nội sọ do di căn của ung thư phổi. (Ảnh: cornerstonephysio.com)
Canh bao dau hieu o dau la trieu chung cua ung thu phoi-Hinh-8
Khóe miệng bị lệch/méo. Sự chèn ép nội sọ sẽ gây ra một số triệu chứng tương tự như tai biến mạch máu não, nên có thể xuất hiện tình trạng khóe miệng bị lệch. (Ảnh: Vinmec)
Canh bao dau hieu o dau la trieu chung cua ung thu phoi-Hinh-9
Chứng mất ngôn ngữ. Bộ não có nhiều trung tâm quan trọng. Nếu não bị đè nén, đặc biệt là vùng trung tâm ngôn ngữ, thì rất dễ gây ra chứng mất ngôn ngữ. (Ảnh: jnj.com) 
Canh bao dau hieu o dau la trieu chung cua ung thu phoi-Hinh-10
Một khi ung thư phổi gây di căn não thì căn bệnh có khả năng đã ở giai đoạn cuối do khu vực di căn ở xa. Đa số bệnh nhân bị di căn ở não chỉ được phát hiện khi có những biểu hiện rõ ràng. Lúc này, việc điều trị sẽ rất khó khăn. (Ảnh: clevelandclinic) 
Canh bao dau hieu o dau la trieu chung cua ung thu phoi-Hinh-11
Nhiều người có tâm lý rằng có triệu chứng mới đi khám, không có triệu chứng thì bỏ qua. Nhưng, ung thư phổi giai đoạn đầu có thể hoàn toàn không có triệu chứng. (Ảnh: Everydayhealth)
Canh bao dau hieu o dau la trieu chung cua ung thu phoi-Hinh-12
 Do đó, nếu muốn phát hiện kịp thời, bạn nên hình thành thói quen thường xuyên khám sức khỏe định kỳ. Ảnh: Wikipedia.  

4 loại thực phẩm ngăn chặn sự xâm lấn của tế bào ung thư

Hãy ăn những thực phẩm có thể ngăn chặn sự xâm lấn của tế bào ung thư, điển hình là 4 loại thực phẩm chống ung thư sau.

4 loai thuc pham ngan chan su xam lan cua te bao ung thu
Nói đến tế bào ung thư có lẽ ai cũng sợ, vì hiện tại vẫn không có cách nào tốt để đối phó với căn bệnh này. Tỷ lệ mắc bệnh ung thư cao, một khi đã phát hiện thì đa số đều ở giai đoạn giữa và cuối, khả năng tử vong do ung thư là rất cao. Vậy có cách nào để phòng tránh không? (Ảnh minh họa)

6 loại ung thư thường mắc ở nam giới

Được xem là phái mạnh song đàn ông lại dễ mắc ung thư hơn phụ nữ. Đặc biệt, 6 loại ung thư dưới đây “thích” tấn công nam giới hơn hẳn.

6 loai ung thu thuong mac o nam gioi
 So với phụ nữ, nam giới được đánh giá là phái mạnh. Tuy nhiên, tỷ lệ nam giới mắc ung thư lại cao hơn phụ nữ. Theo chuyên gia, tình trạng này bắt nguồn từ thói quen sinh hoạt, áp lực đàn ông đối mặt hàng ngày. (Ảnh minh họa)

Mitsubishi Mirage 2023 loại bỏ hộp số sàn, giá từ 373 triệu đồng

Mitsubishi Mirage 2023 - mẫu xe rẻ nhất của thương hiệu Mitsubishi tại thị trường Mỹ sẽ đắt hơn và lái không còn thú vị như trước vì chỉ dùng hộp số biến thiên vô cấp CVT tiêu chuẩn.

Mitsubishi Mirage 2023 loai bo hop so san, gia tu 373 trieu dong

Hiện nay, hộp số sàn không còn được ưa chuộng như trước. Điều này dẫn đến sự biến mất của hộp số sàn trên nhiều mẫu xe. Mitsubishi Mirage 2023 mới là ví dụ cho xu hướng loại bỏ hộp số sàn này.  Theo đó, ở phiên bản 2023, Mitsubishi Mirage tại thị trường Mỹ sẽ không còn dùng hộp số sàn 5 cấp nữa.


Mitsubishi Mirage 2023 loai bo hop so san, gia tu 373 trieu dong-Hinh-2

Thay vào đó, mọi phiên bản của mẫu xe hạng A này đều dùng hộp số tự động biến thiên vô cấp CVT. Trước đây, hộp số CVT chỉ là trang bị tùy chọn của Mitsubishi Mirage giá rẻ. Tuy nhiên, giờ đây, hộp số CVT lại trở thành trang bị tiêu chuẩn của mẫu xe rẻ nhất mang thương hiệu Mitsubishi tại thị trường Mỹ.


Mitsubishi Mirage 2023 loai bo hop so san, gia tu 373 trieu dong-Hinh-3

Điều này kéo theo giá xe Mitsubishi Mirage 2023 cũng tăng lên so với phiên bản cũ. Theo đó, Mitsubishi Mirage 2023 phiên bản hatchback sẽ có giá khởi điểm từ 16.245 USD (khoảng 373 triệu đồng). Con số tương ứng của Mitsubishi Mirage 2023 phiên bản sedan là 17.245 USD (396 triệu đồng). Cả hai đều tăng 1.600 USD so với trước.


Mitsubishi Mirage 2023 loai bo hop so san, gia tu 373 trieu dong-Hinh-4

Với những người đam mê lái thì sự biến mất của hộp số sàn sẽ khiến Mitsubishi Mirage không còn thú vị như trước. Tuy nhiên, nói một cách công bằng thì Mitsubishi Mirage phiên bản CVT lại tiết kiệm xăng hơn phiên bản số sàn.


Mitsubishi Mirage 2023 loai bo hop so san, gia tu 373 trieu dong-Hinh-5

Tại thị trường Mỹ, Mitsubishi Mirage được trang bị động cơ xăng 3 xi-lanh, dung tích 1.2L, sản sinh công suất tối đa 78 mã lực và mô-men xoắn cực đại 100 Nm. Khi đi với hộp số CVT, động cơ này chỉ "ngốn" lượng xăng 6,53 lít/100 km trong đô thị, 5,47 lít/100 km ngoài đô thị và 6,03 lít/100 km kết hợp.


Mitsubishi Mirage 2023 loai bo hop so san, gia tu 373 trieu dong-Hinh-6

Ngoài sự biến mất của hộp số sàn 5 cấp, Mitsubishi Mirage 2023 ở thị trường Mỹ còn có thêm phiên bản đặc biệt mang tên Ralliart. Hiện hãng Mitsubishi chưa công bố nhiều thông tin về Mirage Ralliart dành cho thị trường Mỹ. Tuy nhiên, sẽ không bất ngờ nếu xe có thiết kế giống với Mitsubishi Mirage Ralliart từng ra mắt trong triển lãm Bangkok International Motor Show 2022 diễn ra vào đầu năm nay ở Thái Lan.


Mitsubishi Mirage 2023 loai bo hop so san, gia tu 373 trieu dong-Hinh-7

So với bản thường, Mitsubishi Mirage Ralliart 2023 sở hữu ngoại hình nổi bật hơn nhờ gói phụ kiện Ralliart, bao gồm ốp cua lốp với vân sợi carbon thể thao và chắn bùn màu đỏ sau 4 bánh xe.


Mitsubishi Mirage 2023 loai bo hop so san, gia tu 373 trieu dong-Hinh-8
 Ngoài ra, trên thân xe còn có đề-can Ralliart màu đỏ, xám và đen mới. Bên trong Mitsubishi Mirage Ralliart 2023 chỉ có một số thay đổi nhỏ như nội thất phối 2 màu đen - đỏ tương phản và thảm sàn với logo Ralliart mới.

Mitsubishi Mirage 2023 loai bo hop so san, gia tu 373 trieu dong-Hinh-9

Theo hãng Mitsubishi, Mirage Ralliart tại thị trường Mỹ sẽ được bán với số lượng giới hạn và được sơn màu trắng White Diamond, đi kèm nóc màu đen tương phản.


Mitsubishi Mirage 2023 loai bo hop so san, gia tu 373 trieu dong-Hinh-10

Hiện Mitsubishi Mirage đã bị "khai tử" tại Việt Nam bởi doanh số kém. Trong khi đó, tại thị trường Thái Lan, mẫu xe này vẫn được ra mắt và có giá khởi điểm từ 537.000 Baht (khoảng 342 triệu đồng).



Video: Giới thiệu Mitsubishi Mirage 2023 giá rẻ.